
Medical Surgeries
Dental crown lengthening


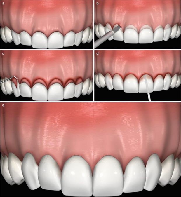
Dental crown lengthening is a surgical dental procedure that involves removing gum tissue, bone, or both from around a tooth to expose more of the tooth's structure.
This procedure is typically done to:
Provide more tooth structure for the placement of a dental crown: When a tooth is severely decayed, broken, or has insufficient tooth structure for a dental crown (cap) to be securely placed, crown lengthening can be performed to expose more of the tooth, allowing for the placement of a crown.
Correct a "gummy" smile: In some cases, a person's smile may appear "gummy" because their teeth are covered by excessive gum tissue. Crown lengthening can be used to reshape the gums and make the teeth appear longer, improving the aesthetic of the smile.
Address issues with gum health: Crown lengthening can also be done to access and remove deep-seated dental cavities or to treat periodontal (gum) disease by providing better access for cleaning and treatment.
Dental crown lengthening aftercare:
Follow Post-Operative Instructions: Your dentist or periodontist will provide you with specific post-operative care instructions. It's essential to follow these instructions closely for the best results.
Pain Management: You may experience some discomfort after the procedure. Over-the-counter pain relievers or medications prescribed by your dentist can help manage pain. Follow your healthcare provider's recommendations regarding pain relief.
Swelling: Some swelling is normal after the procedure. Applying an ice pack to the outside of your face in 20-minute intervals can help reduce swelling during the first 48 hours.
Diet: Stick to a soft diet for a few days to allow your gums to heal. Avoid hot, spicy, or crunchy foods that could irritate the surgical site. Gradually reintroduce solid foods as advised by your dental professional.
Oral Hygiene: You should continue to maintain good oral hygiene during the healing process. Gently brush your teeth, avoiding the surgical site, with a soft toothbrush. Rinse your mouth with a prescribed or recommended mouthwash. Be extra cautious when flossing to avoid the surgical area initially.
Medications: If prescribed, antibiotics or antimicrobial rinses should be used as directed to prevent infection.
Avoid Tobacco and Alcohol: It's advisable to avoid tobacco and alcohol, as they can slow down the healing process and increase the risk of complications.


Rest: Give your body time to recover. Adequate rest can help the healing process.
Follow-Up Appointments: Attend all follow-up appointments with your dentist or periodontist to monitor your healing progress and remove any stitches as necessary.
Be Mindful of Your Mouth: Avoid biting or chewing on the treated area to prevent any trauma to the surgical site.
Keep in mind that recovery times can vary depending on the extent of the crown lengthening procedure and individual factors.


Surgery Details
Anesthesia: -
Recovering: -
Operation: about 1 hour
Hospitalization: –
Back to normal life: 1/2 days
Cost: From $80
Our services include:
our online services include: quotes and consultation
Planning the highest word-level medical trips and quality hospitals and medical centers according to the patient's request and budget.
Appointing treatments by the most skilled and experienced doctors.
Airport pick-up/drop off, check-ups, accompanying translator, book hotel (for patients and their families)
Pre-hospitalization / post-hospitalization care services




All-Inclusive Medical Travel Packages
based on your budget, our team will assist you in choosing the best hotels, doctors, and medical centers. Our packages include:
Airport Pickup Services
Airport Dropoff services
Hotel
Ticket
visa
translator
Transfer
SIM Card
Sightseeing
why Iran
Patients may choose to have abdominoplasty (commonly known as a tummy tuck) in Iran for a variety of reasons
Cost, Quality of Care, Privacy and Discretion, Combined Tourism, no Waiting Times
![]()
Fotros is an Iranian health tourism company with a professional team consisting of a support team and word-level doctors in medical and cosmetic surgeries like Neurosurgery, Rhinoplasty, Breast cosmetic surgeries, Liposuction, tummy tuck, etc.

















why Iran